Chủ Nhật, 19/10/2025 16:25 (GMT +7)

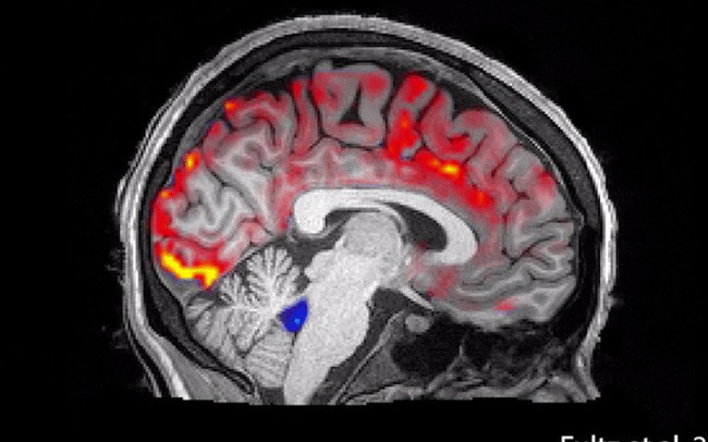
Điều gì xảy ra với não bộ khi bạn đang ngủ?

Chủ nhật, 25/09/2022 | 12:48:23 [GMT +7] A  A
Theo VTV.vn

Ý kiến ()

0 / 500 ký tự
Guest
Đang tải dữ liệu